logo

会员登录

用户登录 评委登录
一周内自动登录 建议在公共电脑上取消此选项
一周内自动登录 建议在公共电脑上取消此选项
依据工信部新规要求,运营商部署做出调整,现部分用户无法获取短信验证码(移动运营商为主)。如遇收不到短信验证码情况,请更换其他手机号(联通、电信)尝试,有疑问请电话咨询:18912606905、18136127515。
一周内自动登录 建议在公共电脑上取消此选项
手机登录 微信登录 还未账号?立即注册 忘记密码

会员注册

*依据工信部新规要求,运营商部署做出调整,现部分用户无法获取短信验证码(移动运营商为主)。如遇收不到短信验证码情况,请更换其他手机号(联通、电信)尝试,有疑问请电话咨询:18912606905、18136127515。
已有账号?
医械创新资讯
医械创新资讯

全球首款!佳能医疗CZT光子计数CT正式发布

日期:2026-04-22
浏览量:2087


在JRC2026上,佳能医疗CZT-PCCT全球首发,全球首款多体位全身CT重磅展出。


2026年4月16日至19日,佳能医疗在日本横滨举行的日本放射学大会(JRC2026)上,正式发布基于碲锌镉(CZT)材料的光子计数CT系统。该系统已于2025年6月获得美国FDA批准,是全球首款基于碲锌镉技术路线的光子计数CT。本次发布标志着该技术正加速走向全球临床应用落地。


同时,围绕复杂疾病诊疗需求,佳能医疗同步展示覆盖CT、MRI、DSA、X线及超声的多模态技术布局,系统呈现影像技术从前沿探索走向临床应用的整体能力。


JRC全球影像医学领域重要的风向标之一,JRC2026(即第85届日本放射学会年会、日本放射技术学会年会、日本医学物理学会年会、日本医学物理学会年会及国际医学影像综合展)以“Radiology Connectome”为主题,汇聚临床、技术与产业多方力量,集中呈现光子计数CT、高场MRI及AI赋能影像等前沿发展方向。



JRC2026

CZT-PCCT全球首发

面向精细化诊疗的影像新路径

图片

CZT-PCCT全球首发


基于碲锌镉(CZT)探测器材料,CZT-PCCT实现单光子层面的信号采集与能量分辨,影像由单一强度信息拓展为多维能谱信息,在提升空间分辨率的同时获取更丰富的组织信息。结合深度学习重建技术,在图像细节、噪声控制与剂量效率之间实现优化,为复杂疾病提供更加精细、稳定且高度可解释的影像支持。


同时,依托以AI为核心的自动化工作流技术,在提升检查效率的同时增强流程一致性与可重复性,推动CT检查向更加高效、标准化的方向演进。


基于全球的具体应用反馈,CZT-PCCT可以面向对细节与定量要求更高的临床场景提供支持。


图片

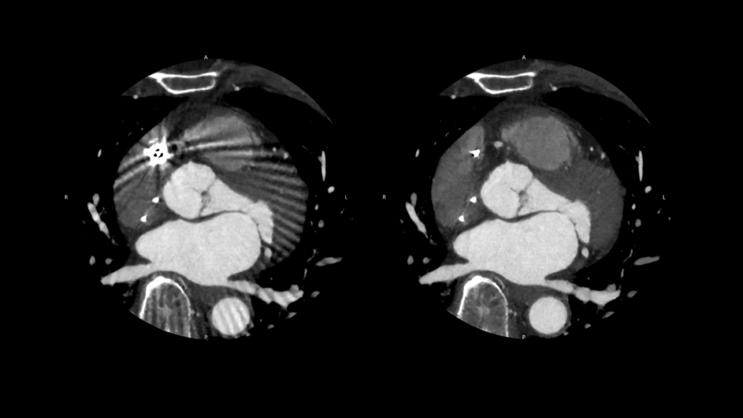
冠状动脉成像

精细细节、血管连续性好、超薄层厚


🔹在心血管成像中,CZT-PCCT通过更高的空间分辨率与更薄层厚成像能力,使血管细节及远端分支结构获得更清晰、连续的显示。对于小血管及复杂病变的观察,有助于提升影像评估的精细度,为心血管疾病的诊断与分析提供更加可靠的依据。


图片

肝肿瘤

能谱成像,提供更多信息


🔹在肿瘤评估中,基于CZT-PCCT的能谱成像能力,可提供虚拟单能量图像及碘图等多维定量信息,有助于更清晰地呈现病灶强化特征与组织差异。相较传统成像方式,可以为肿瘤的检出、定性及评估提供更加丰富的影像参考。


图片

围绕碲锌镉光子计数CT这一技术方向,佳能医疗于2021年完成对Redlen Technologies的收购,将核心材料研发与探测器制造能力纳入体系,并与整机系统及AI技术协同推进,逐步形成从关键材料到成像算法的一体化能力。在此基础上,通过持续提升核心器件的制造与供给能力,并在产业层面推动碲锌镉技术路径的发展,助力CZT-PCCT在更广泛临床场景中的应用,为下一代技术能更好地解决临床难题提供支持。


注:该产品目前尚未在中国上市


JRC2026

多体位成像

拓展CT影像评估新维度

图片

多体位CT现场演示


作为全球首款支持站立、坐姿及仰卧位多体位成像的全身CT系统,Aquilion Rise突破传统“只能躺着扫描”的检查模式,将影像评估拓展至“与体位相关的功能改变”的观察维度。针对脊柱、关节等部位疾病在不同体位下表现差异明显的临床场景,可提供更接近生理状态的影像信息,辅助医生更全面地诊断判断,显著拓展了CT临床诊断边界。


图片


在系统设计上,结合AI自动化流程,对患者定位、扫描规划及操作流程进行优化,在提升检查效率的同时,有助于降低操作复杂度,提升流程一致性与可重复性,为临床提供更加灵活、高效的影像检查方案。


该产品凭借创新设计与临床应用价值,荣获2026年iF金奖

图片


注:该产品目前尚未在中国上市


JRC2026

AI赋能

贯穿成像全流程的技术支撑

重塑诊疗质量与效率

在医学影像流程中,人工智能的应用已覆盖检查准备、数据采集、图像重建及后处理分析等多个环节。从提升扫描一致性到优化图像质量,再到辅助临床评估,AI正成为贯穿成像全流程的重要技术支撑,推动影像诊疗向更加高效、规范的方向发展。


🔹PIQE(Precise IQ Engine)

重塑心脏成像

图片

SEMAR OFF

SEMAR ON


心血管成像中,针对支架、起搏器等金属植入物带来的伪影影响,结合PIQE超分辨重建与SEMAR金属伪影抑制技术,可在不增加辐射剂量的前提下减少金属伪影对图像的影响,提升周围软组织的显示效果,从而为复杂病例提供更清晰、可靠的影像参考。


🔹以AI为核心的

先进自动化技术“INSTINX”

重塑检查流程

图片

在检查流程环节,以AI为核心的自动化技术“INSTINX”实现了从患者定位、扫描范围设定到图像展示的自动化与简化。基于机架内置相机识别患者体位,结合定位扫描数据自动设定扫描范围,并支持图像显示的自动布局,在提升检查效率的同时,有助于增强流程的一致性与可重复性。

JRC2026

全线集结

多模态技术布局


图片

Alphenix 4D CT融合了AI驱动的佳能医疗最新一代宽体CT Aquilion ONE/ INSIGHT Edition与业界首款76微米显微高清、双滑环介入系统 Alphenix Sky+的协同优势,一室一床,一站式实现诊断、规划、治疗与确认,提供优质的诊疗服务。

图片

Vantage Centurian一款面向高端临床与科研应用的旗舰级3T磁共振系统,通过高梯度性能与AI重建技术的协同,实现高分辨率与定量成像能力,为复杂疾病的早期识别与精细评估提供支持。


图片

Radrex i5 / Flex Edition将数字化X线从单一检查设备,拓展为适配多场景的影像平台,在提升科室运行效率的同时,推动影像检查向更加灵活与以患者为中心的方向发展。


图片

Aplio beyond 是一款融合高性能成像与AI自动化能力的超声系统,通过超微血流、弹性成像及定量分析等多维功能,为多临床场景提供更加高效、精准的影像支持。



←→左右滑动,查看更多

注:以上产品目前尚未在国内上市



展会现场,佳能医疗覆盖CT、磁共振、DSA、X线、超声及医疗IT的全线展品,吸引了观众们的热烈关注。


在医学影像技术持续演进的背景下,佳能医疗围绕精准诊疗需求,持续推进医学影像技术的创新发展,不断探索影像在复杂疾病诊疗中的更多可能。


未来,佳能医疗将继续依托全球技术积累与本土化创新,深化与临床机构的合作,推动影像技术在更广泛场景中的应用,为医疗健康事业的发展提供持续支持。


特别提示:

内容为针对展会定向分享

不推介任何医疗机构、医疗产品和医疗服务

仅供专业人士阅览







▲文章来源:佳能医疗
▲转载请标注以上来源

声明:本文仅作信息传递之目的,仅供参考。本文不对投资及治疗构成任何建议,请谨慎甄别。如涉及作品内容、版权和其它问题,为保障双方权益,请与我们联系,我们将立即处理。如有平台转载本篇文章,须自行对该篇文章负责,医疗器械创新网不对转载引起的二次传播负责。

图片

往期推荐

财务造假,医械龙头企业退市倒计时

迈瑞,再次出手!

奥林巴斯,新品

苏州这一械企,拿下近亿元融资!

图片

返回列表
Baidu
map